Látványos átalakulások
Óriási különbséget jelent szép fogakkal vagy hiányos, esztétikailag problémás fogazattal élni. Az új, esztétikus fogak nemcsak azt teszik lehetővé, hogy újra gondtalanul élvezze az étkezéseket, hanem visszaadják a mosolyt, az önbizalmat és az önbecsülést is, miközben fiatalosabb és egészségesebb megjelenést biztosítanak.
Tekintse meg az alábbiakban néhány munkánkat!
Előtte – utána képek
Patient satisfaction is our top priority. We are always delighted to see the joy on our patients’ faces when they see their new smile for the first time. Take a look at our work by viewing our before-and-after photos.
Figyelem: Az alábbi képek érzékenyebb nézők számára zavaróak lehetnek.
Anna K. (H)
SPARK™ Aligner; 32 hét
Louis D. (UK)
Spark™ Aligner; 39 hét
Manuela V. (D)
28 db cirkónium korona; 10 nap
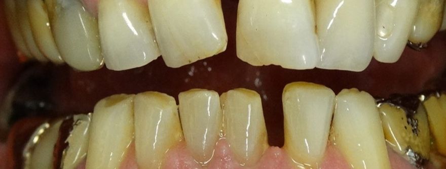
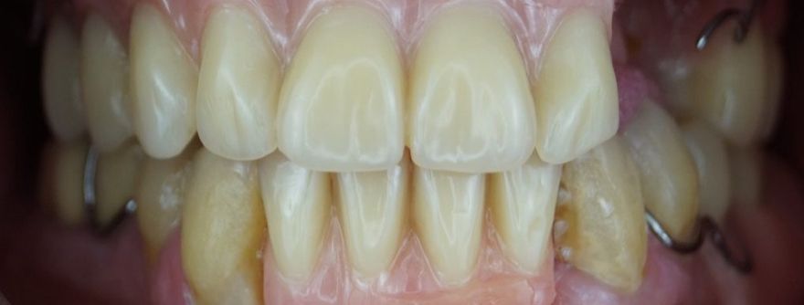
Veronika E. (D)
28 e.Max Teljes kerámia korona, 10 nap
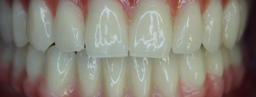
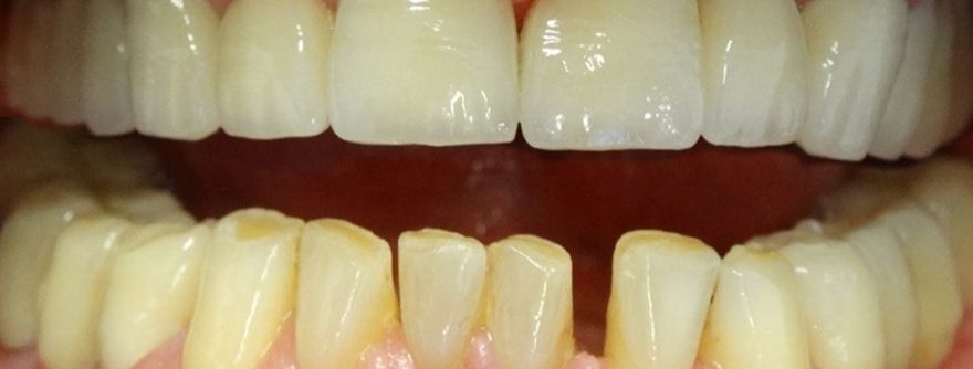
Paul R. (D)
12 Cikrón korona, 5 nap
Michael P. (CH)
4 e.Max Porcelán héj; 5 nap
Hardi P. (D)
7 Implantátum, 13 korona, alsó-felső teleszkopós protézis; 12 nap
Sarah H. (D)
20 Kerámia korona fém vázon;
5 nap

EN
DE
AT
CH


