Virtuális fogászati séta

Virtuális sétánk lehetőséget nyújt arra, hogy már az első látogatás előtt megismerje klinikánk környezetét és felszereltségét. Betekintést nyerhet korszerű röntgen- és diagnosztikai eszközeinkbe, valamint megtekintheti modern kezelőegységeinket és sterilizációs rendszereinket, amelyek a biztonságos és hatékony kezelések alapját biztosítják.


Fedezze fel klinikánkat!

Successful dental treatments

Procedures under general anesthesia

Satisfied patients

Commitment to quality


Best dental clinic in the heart of Budapest

Dental clinics in Budapest are very popular due to the expertise of the dentists and the optimal price-performance ratio. The number of dental patients traveling to Hungary from Germany is increasing by more than 10% annually.

Evergreen Dental Clinic is located on the famous Andrássy Boulevard in the heart of Budapest, in a breathtakingly beautiful, completely renovated building dating from 1870.

Our certified (GCR) dental clinic is not just modern but will immediately make you feel at home. The warm green colors in the waiting room, with broadband Wi-Fi create a cozy living room atmosphere, where, at any time you can ask our coordinators for a warm coffee or a tea. Our friendly, fluent English-speaking staff will ensure you have a very pleasant experience with us. (nekem ez a privát páciens dolog elég furán hangzik)


One step closer to your perfect smile

Personalized, free plan via email – within 24 hours

Evergreen Dental Budapest

Treatment rooms

The large treatment rooms (20-30 square meters) with air conditioning are in stark contrast to the usual, rather claustrophobic treatment rooms that one typically enters.

All of our treatment rooms have a consultation area where patients can sit down with the dentists and interpret the X-rays together, clarifying all questions relevant to the treatment.


Dental check-up

Our dental clinic specializes in solving all dental problems as efficiently as possible. Our highly qualified dentists always take the time to fully understand your problem and expectations so that they can offer you the best possible solutions. Using our models and digital planning software, we give you a perfect overview of the situation and possible solutions in advance.

Our examination is designed to provide you with comprehensive information without obligation and to answer all your questions, enabling you to make an informed decision about your dental treatment.

Zahnbehandlungen

Teeth before and after

Patient satisfaction is our top priority. We are always delighted to see the joy on our patients’ faces when they see their new smile for the first time. Take a look at our work and view our before and after photos.

Anna K. (H)
SPARK™ Aligner; 32 weeks

Louis D. (UK)
Spark™ Aligner; 39 weeks

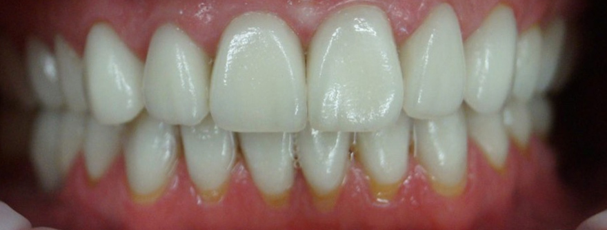
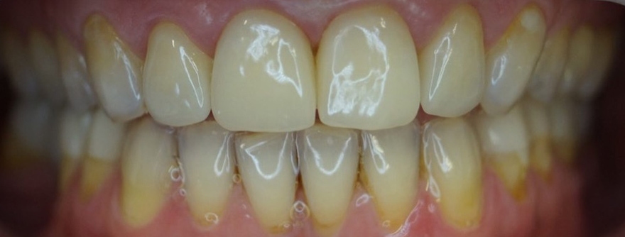
Manuela V. (D)
28 Zircon crowns, 10 days

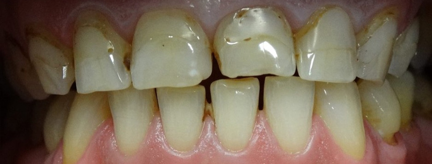
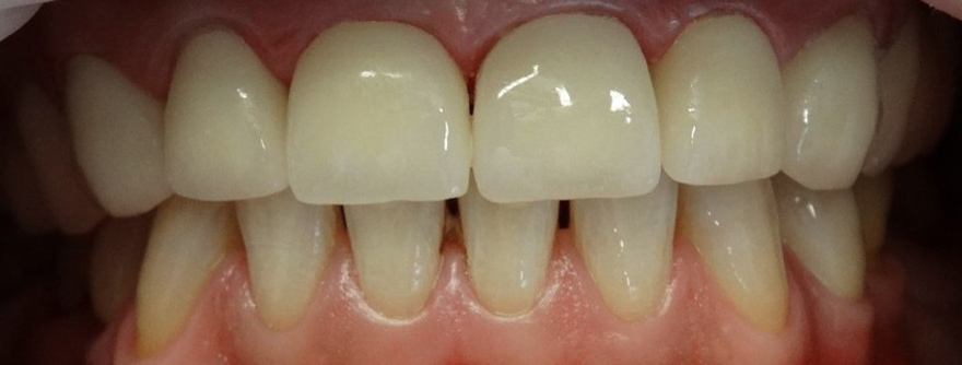
Veronika E. (D)
28 e.Max full ceramic crowns, 10 days

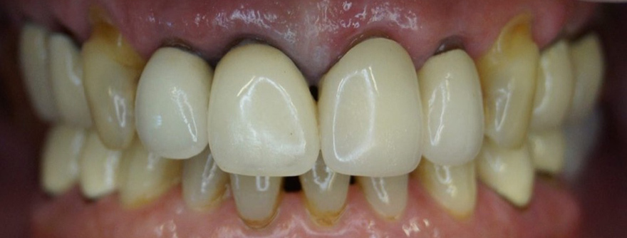
Paul R. (D)
12 Zircon crowns, 5 days

Michael P. (CH)
4 e.Max porcelain veneers, 5 days

Free dental check-up

Including preparation of the treatment and cost plan.

Dental implants

Implant screw + Implant abutment + Implant crown.

General anesthesia/sedation

Performed by
specialists.


Professional Dental Team

When selecting our dentists, we pay attention to very specific criteria. If you are looking for the best dentists for your treatment in Hungary, Evergreen Dental is the right choice for you.