Beautiful teeth in express speed
Get a new smile in just 3 days with our digital workflow.
You have no time and mood to spend weeks on time-consuming dental treatments?
Do not worry! We have a superfast solution for you!

Express speed? How is it possible?
First it may sound incredible that only within a few days you can look into the mirror with a beautiful smile again, but thanks to the state-of- art digital technology we can realize it at Evergreen Dental.
Whether you have just one or a few missing teeth if you start the treatment at our clinic on Monday morning, you can travel home with your new teeth and a beautiful smile on Wednesday evening.
Owing to a digital impression and planning system we offer a fast and painless process with which you regain your self-confident smile in a very short time.
Compared to the traditional impress taking the digital process is much faster, so is the production of the final result.
If you consider your time valuable, this method and our service is perfect for you.
In the last few years more and more such patients turned to us seeking a fast solution who had a fallen crown or an unfortunate accident, and those who simply do not want to suffer through the traditional treatment methods.
We are professionally prepared to all these situations and our digital working methods speed up the process and life not just for us, but for our patients as well.
The express treatment is for you if…
If at least two of the above mentioned reasons are true for you, you will be more than satisfied with express treatment offered by us.






The magical word is: Digital
By taking digital impression and making the treatment plan digitally we can shorten the time of treatmant significantly. We make the crowns and bridges for you within express time.
Digital treatment mean that each step of the process is digitized from the beginning to the final product with which we save a lot of time for you.
When do you need crowns?
We talk about a dental crown when a tooth is extensively damaged or crooked but the root is good, there is no inflammation and therefore can be kept. In such cases the tooth is being covered by a dental crown. A tooth crown protects the tooth and solves the functional and aesthetic problems.
Also, crowns are often applied after root canal treatment to strenghten and protect the tooth.
It is important to note that in case of express speed the crown can be made only from full ceramic, instead of the traditional materials.


When do you need a bridge?
We talk about a dental bridge if one or more gaps are treated with a prosthetic solution. A bridge always consists of at least three parts and spans the gap by being attached on the two neighbouring teeth that are the pillars.
To place a bridge first it is necessary to prepare – to grind off- those teeth, which are next to the gap, so making the placement of the bridge on the neighbouring teeth possible.
It is importat to know that contrary to the traditional method your new bridge cannot be made from composit or porcelain only from full ceramic up to 8 teeth on one arch.
Digital Technology
The greatest and most important advantage of the digital method is that those patients who suffer from gag reflex do not have to endure such problems as e.g. nausea, that often emerge during the traditional way of impression taking. Instead, the impression is taken with an oral scanner.

Further benefits of express method along with the speed
Express crowns and bridges- when it is urgent
If you need it we can produce full ceramic crowns for you which are precise and comfortable- within much shorter time.
So you can receive a stable, aesthetic, premium quality result without long waiting time- for a small surcharge.



We do our best so that you can get your new teeth within 3 days
Oder wie auch Sie in 3 Tagen neue Zähne bekommen
Day 0
Online price offer or personal advice
If you decide on online offer and treatment plan and you want to be a hundred percent sure that the express treatment is suitable for you, please send us a panoramic x-ray and some photos of your teeth so that we can make the right offer and treatment plan for you.You can send them for us if you fill in the form and upload the pictures at the end of this information block. You will also find some advice there how to take the photos. When we are ready with the offer based on the material you have sent to us, we are going to send the treatment plan to your e-mail address.
If you decide on the personal advice we make an appointment with you when you can visit our clinic for a one-hour consultation. During the consultation we make a panoramic x-ray and overview your oral medical status, after which you can discuss the options for your treatment with the dentist.

Day 1
The start
If you decide on the online consultation
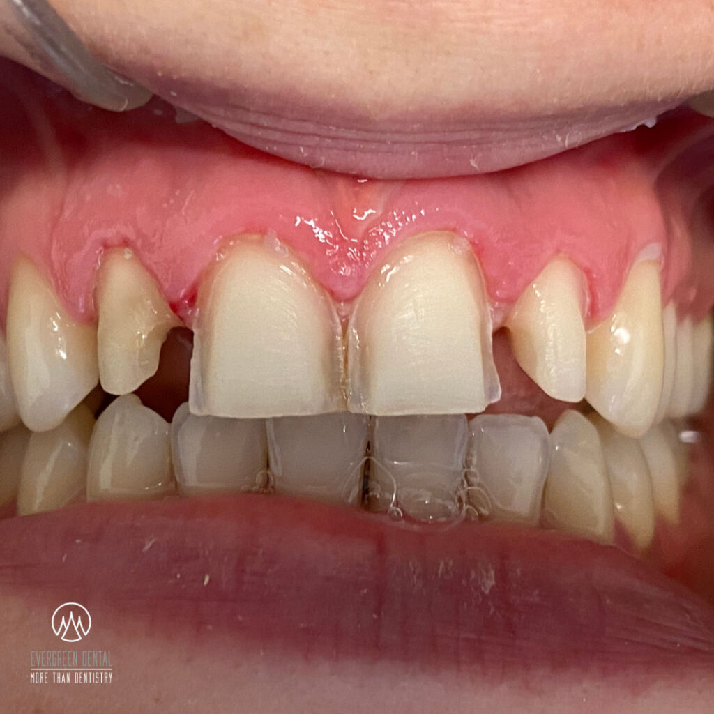
When you visit our clinic you will be met by our colleague at the reception desk. After a short administration the dentist starts the treatment according to the treatment plan. First, he examines your teeth and takes a digital impresson.
The advantage of the digital impression is that it significantly shortens the duration of the treatment, as it is immediately sent to the dental laboratory, where it will be processed not just faster but with greater precision.
After the digital impression the next step which is in your treatment plan is performed. (for example: grinding of the tooth or teeth) After finishing grinding you will get temporary denture at once. So, we can say that your missing tooth or teeth are replaced on the very first day.
If you decide on the personal consultation
When you arrive at your previously booked appointment, you will be met by our colleague at the front desk. After a short administration you will see the dentist who starts the examination and gives you a medical summary and advice on the treatment options.
Finally you will be given a detailed treatment plan with a price offer.
When you accept the treatment plan, you can at once make an appointment to start the treatment. The 3 days for the treatment start from the first appointment.
Day 2-3
Finishing the treatment
On the second day you need not come to the clinic as the dental laboratory is making your denture, so you can go sightseeing this day.
On the third day you will come to the clinic again, because by then we have got your denture from the lab.
First, the dentist will try it into your mouth to see whether it perfectly fits, makes some adjusments in case it is necessary and finally you can leave for home with your new teeth and beautiful smile.




Dr. Zoltán Kovács
Prosthetist | Conservative Denstist and Prosthodontist; Digital Dental and Aesthetic Specialist
Your dentist who will perform your treatment with the greatest care and highest professionalism.
I started in the field of dentistry as a dental technician in 1996 which later, during my university studies was a great access. After obtaining my diploma as a dentist I started my career at Semmelweis University as a teacher and researcher. During this time I absolviered 2 professional exams.
Through the digital researchwork at university I immersed myself in the development of the digitization of the dental profession. From 2015 on I have dedicated my knowledge and experience to the digital dentistry.
I have been working with digital methods in Hungary since 2018. First I started to work with it in my private praxis, where complex rehabilitation and high quality aesthetic demands were met.
During my work I place great emphasis on the strict protocol and detailed patient information.
As I speak both English and German fluently, I take part in the medical care of such patients who arrive in Hungary because of dental tourism, and where the right planning and division of the phasis of the treatment process is especially important.
What is the difference between express and traditional dentures?
Traditional impressions
The process
Advantages
Disadvantages
Impression for Express dentures
The process
Advantages
Disadvantages
Traditionelle abdrucknahme
Express Zahnkronen und Brücken
The process
The process
Advantages
Advantages
Disadvantages
Disadvantages
The place where we can help you immediately
In one of the most prestigious building in Andrássy street, surrounded by familiar atmosphere and such conditions which offer all comfort, moreover equipped with professional, state-of-art appliances, we can offer a wide range of dental treatment.
1061 Budapest, Andrássy út 45.
If you would like to receive an online offer, please fill in the following form:
For taking the photos you will need:
2 tea spoons, a mobile phone or a digital camera
Please follow the next steps:

The fee of the consultation is to be paid on the spot.
(Included in the price: X-ray or 3D CT image, personal counseling and treatment plan)
Price 129 EUR

Picture 1
Mouth slightly ajar

Picture 2
Clenched teeth

Picture 3
Use both spoons to pull the lips apart while clenching your teeth

Picture 4
Natural smile with clenched teeth

Picture 5
So can a photo be made with the help of another person
Dental travel management
At Evergreen Dental we provide a full travel management service to ensure a seamless experience. If you are planning a dental trip to Budapest, Hungary, you do not have to worry about anything. Our colleague at the travel management department will take care of it.
This includes researching the best available flight/train solution, transfer from/to the airport and booking an accommodation for your stay.
The wide range of our partner hotels enable us to serve all the levels and wishes from top category hotels to local apartments at a very good price.
Based on our many years of experiences, we are familiar with the incoming flights to choose the best airport to fly from and the best time based on your dental treatment plan.


EN
DE
AT
CH


